Akredytowane Centrum Badawczo Rozwojowe

Łączymy systemy. Usprawniamy procesy. Napędzamy rozwój.
Strona główna » Dlaczego my? » Case studies / realizacje » Analiza obrazów medycznych
Projekt „Analiza obrazów medycznych” wykorzystuje zaawansowane techniki analizy danych, sztucznej inteligencji oraz metod obrazowania, aby wspierać interpretację obrazów diagnostycznych w medycynie. Dzięki automatycznym algorytmom oraz integracji z narzędziami analitycznymi możliwa jest szybsza i bardziej precyzyjna ocena kliniczna, co przyczynia się do poprawy jakości diagnostyki i decyzji terapeutycznych.
Celem aplikacyjnym projektu jest zbudowanie prototypu inteligentnego systemu informatycznego przetwarzającego i analizującego obrazy z wykorzystaniem sztucznej inteligencji. Funkcjonalność inteligentnego systemu informatycznego będzie polegała na analizie obrazów pochodzących z rożnych źródeł.
Rezultatem finalnym projektu będzie prototyp systemu e-Medicus do rejestracji i analizy danych z obrazów rentgenowskich oraz klasyfikacji komórek nowotworowych. Innowacyjne rozwiązanie skierowane będzie do jednostek medycznych. System będzie wspomagał działalność jednostek służby zdrowia, wykonujących badania radiologiczne w zakresie ewidencji i analizy zdjęć rentgenowskich oraz wyników badań z zakresu tomografii komputerowej. Analiza zdjęć radiologicznych będzie polegała na ich obróbce, identyfikacji obrazów oraz segmentacji. Dzięki takiej analizie możliwe będzie śledzenie zmian stanu pacjenta w czasie, a sam proces analizy zdjęcia zostanie zautomatyzowany.
Planowane rozwiązanie zostanie oparte na najnowszych osiągnięciach naukowych w dziedzinie segmentacji obrazów, algorytmów inteligencji obliczeniowej, modeli i teorii matematycznych. Zadanie systemu będzie polegało na rejestracji i analizie obrazów medycznych w postaci funkcji numerycznych. Pozwoli to na identyfikację zmian medycznych i prowadzenie odpowiedniej klasyfikacji danych. Multimedialne przedstawienie procesu zmian zostanie wykonane za pomocą funkcji zbiorów poziomicowych, która umożliwia topologiczną zmianę właściwości rozwiązania. W projekcie zostaną opracowane i zastosowane nowe procedury i algorytmy w zakresie informatyki teoretycznej i matematyki numerycznej wykorzystujące zagadnienia sieci neuronowych, algorytmów genetycznych, sieci semantycznych, ontologii obrazów, teorii zbiorów przybliżonych, metod zbiorów poziomicowych i algorytmów hybrydowych. Opracowane algorytmy rozwiną metody i koncepcje w zakresie segmentacji obrazów, przechwytywania, przekazywania, gromadzenia, wydobywania informacji oraz pokażą odpowiednią formę ich prezentowania.
System informatyczny e-Medicus składa się z
RADIOGRAFIA CYFROWA
Rozwój technologii informatycznych uczynił obrazy cennym źródłem informacji. Często jednak podczas rozwiązywania konkretnego problemu komputerowego większość z tych informacji okazuje się bezużyteczna. Dlatego też potrzebny jest proces wydobywania z obrazu interesujących danych. Proces ten składa się z etapu przetwarzania wstępnego, mającego na celu ulepszenie obrazu poprzez binaryzację czy usuwanie szumów; etapu redukcji danych, którego głównym zadaniem jest wydobycie z obrazu istotnych pod względem prowadzonych badań cech oraz etapu analizy tych cech.
Ostatnio przedmiotem intensywnych badań stały się w szczególności obrazy medyczne, które przez ponad sto lat zapisywane były analogowo na filmie rentgenowskim. Umożliwiał on rejestrację i prezentację obrazu oraz jego przechowywanie. Dzisiaj standardem stała się radiowizjografia, którą początkowo stosowano jedynie w stomatologii. Z czasem jednak, mimo iż budziła wiele kontrowersji, pojawiła się też w innych dziedzinach medycyny. Powstające w tym standardzie obrazy zapisywane są w postaci cyfrowej jako dwuwymiarowa macierz, której każdy element stanowi wartość określającą poziom szarości odpowiedniego piksela. Cyfrowy zapis jest ogromną zaletą tej metody, gdyż umożliwił on łatwiejsze przechowywanie zdjęć oraz ich ewentualne przesyłanie w celu dalszej diagnozy. Ponadto standardowe programy dostarczane wraz ze sprzętem do radiowizjografii oferują podstawowe operacje na obrazie, takie jak zmiana sposobu prezentacji obrazu (obrót o dowolny kąt, powiększenie lub pomniejszenie), zmiana kontrastu lub jasności, dokonywanie wszelkich pomiarów (np. pomiary wartości kąta i pola powierzchni). Z kolei, wysoka jakość czujnika znacząco zmniejsza dawki promieniowania, na które narażony zostaje pacjent podczas badania. Bez zmian pozostaje jednak fakt, iż nadal rozpoznawanie anomalii w obrębie tkanek leży w gestii lekarza. Dlatego też równolegle z rozwojem technologii służącej do tworzenia zdjęć medycznych powstaje oprogramowanie mające wspomóc ich analizę.
ANALIZA OBRAZÓW MEDYCZNYCH
Analiza obrazów medycznych pozwala na zlokalizowanie stanów chorobowych i odpowiednie ich sklasyfikowanie. Jest to zadanie niezwykle trudne, gdyż w przypadku wielu schorzeń przemiana komórek zdrowych w chore jest procesem ciągłym. Zatem nie wiadomo kiedy się rozpoczyna i jak długo trwa. Dlatego też największą trudność stanowi możliwość jak najwcześniejszego wykrywania komórek chorobowych.
Proces komputerowej analizy obrazów rozpoczyna się na poziomie pikseli. Obraz prezentowany jest w postaci dwuwymiarowej tablicy pikseli, która dostarcza jedynie informacji o położeniu i kolorze poszczególnych punktów obrazu, natomiast nie zawiera informacji określającej, które piksele tworzą poszczególne obiekty. W celu dokonania analizy obrazu, trzeba przejść z poziomu pikseli na poziom obiektów. Dokonuje się tego przy pomocy mniej lub bardziej złożonych algorytmów do segmentacji.
SEGMENTACJA OBRAZÓW MEDYCZNYCH
Mimo, iż wyróżnia się kilka rodzajów segmentacji, wszystkie łączy jedna cecha. Polegają one na podziale obrazu według zadanego kryterium w taki sposób, aby otrzymać rozłączne i jednolite jego fragmenty. Trudno jest określić, która z metod jest metodą najlepszą, gdyż zazwyczaj stosowane są do ekstrakcji innego rodzaju informacji z obrazu. Jednakże ich znaczenie jest ogromne, gdyż źle wykonane mogą być główną przyczyną uzyskania błędnych wyników. Na jakość ich wyników znaczący wpływ ma również rozdzielczość obrazów. Zbyt duża, staje się przyczyną wydzielenia wielu nieistotnych szczegółów, z kolei zbyt mała, przyczyniając się do zatarcia krawędzi obiektów, może prowadzić do nieprawidłowego ich wyodrębniania.
Wśród najprostszych metod segmentacji należy wymienić segmentację przez progowanie i przez detekcję brzegów obiektów. Pierwsza z wymienionych, polega na określeniu pewnej wartości progowej T, na podstawie której każdy piksel obrazu jest zaliczany do jednej z dwóch kategorii. Możliwe jest też progowanie wielopoziomowe. Z kolei druga z wymienionych metod opiera się na granicy pomiędzy obszarami o różnych jasnościach, gdzie duża różnica pomiędzy poziomami szarości sąsiadujących pikseli świadczy o wystąpieniu krawędzi pomiędzy obiektami.
SEGMENTACJA PRZY UŻYCIU METOD STATYSTYCZNY
Warte poświęcenia większej uwagi są metody statystyczne, a wśród nich algorytm k-średnich oraz k- najbliższych sąsiadów, które ze względu na swoją prostotę oraz brak konieczności określania prawdopodobieństw a priori, znalazły szerokie zastosowanie przy segmentacji obrazów. I tak, algorytm k- średnich określa przynależność pikseli do poszczególnych grup na podstawie wzajemnego podobieństwa klasyfikowanych punktów obrazu. Wartość k jest wartością z góry zadaną, co często jest poważną wadą tego algorytmu. Dlatego zazwyczaj jest on wykonywany wielokrotnie dla różnych wartości k i wybierany jest wynik najlepszy. Z kolei algorytm k – najbliższych sąsiadów, klasyfikację pikseli do poszczególnych grup opiera na tzw. zbiorze uczącym oraz na k najbliżej położonych punktach. W obydwu przypadkach wartość k wskazuje na ilość grup.
Wyżej przedstawione algorytmy użyto do szukania zmian chorobowych tkanek miękkich w okolicach zębów. Rysunki 1 i 2 prezentują wyniki ich stosowania. Widać, że przy odpowiednio dobranej liczbie klas i sposobie mierzenia odległości pomiędzy punktami, są one bardzo zbliżone.
Rysunek 1 Segmentacja obrazu algorytmem k-średnich na pięć klastrów przy użyciu odległości euklidesowej.
Rysunek 2 Segmentacja obrazu algorytmem 4-najbliższych sąsiadów przy użyciu odległości euklidesowej.
Do segmentacji zdjęć rentgenowskich możliwe jest też zastosowanie wariacyjnej metody zbiorów poziomicowych, która w porównaniu do swojej wersji podstawowej eliminuje konieczność wykonywania kosztownej czasowo reinicjalizacji. Metoda ta jest techniką numeryczną, za pomocą której można śledzić figury poszukiwanego obiektu oraz optymalizować ich kształt. Została ona zaprezentowana na rysunku 3 na przykładzie obrazu stomatologicznego. Widać na nim, że obiekty są wydzielane i odseparowywane z dużą dokładnością. Oddzielenie fragmentów obrazu o wspólnych cechach pozwala określić precyzyjniej granice pomiędzy poszczególnymi tkankami i wykryć anomalie w obrębie samych tkanek.
Rysunek 3 Segmentacja obrazu algorytmem wariacyjnej metody zbiorów poziomicowych po 300 iteracjach i funkcją zbioru poziomicowego zainicjalizowanej w odległości 6 pikseli od brzegu obszaru.
Rysunek 4 Segmentacja obrazu dermatoskopowego z wykorzystaniem metody zbiorów poziomicowych
Rysunek 5 Rekonstrukcja obrazu za pomocą wariacyjnej metody zbiorów poziomicowych
Rysunek 6 Rekonstrukcja obrazu z użyciem zmodyfikowanej metody zbiorów poziomicowych
Rysunek7 FCMThresholding – sarkoidoza
Rysunek 8 FCMThresholding – przerzuty nowotworowe
Rysunek 9 Wyniki funkcji konturowej. Sarkoidoza na obraz po lewej stronie, przerzuty nowotworowe na prawej.
Rysunek 10 Wyniki funkcji contourf. Sarkoidoza na obrazie po lewej stronie, przerzuty nowotworowe na prawej. Funkcja dzieli obraz na dwa obszary – czerni i bieli, gdzie biały obszar jest obszarem, że jesteśmy zainteresowani w celu dalszej analizy.
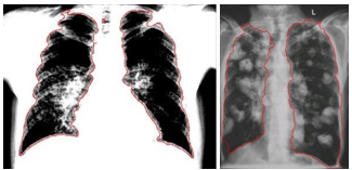
Rysunek 11 Sarkoidoza – obraz po lewej stronie, przerzuty nowotworowe – obraz po prawej.
Rysunek 12 Ostateczne wyniki. Szacowana wartość anomalii. Wyniki są widoczne na każdym obrazie, po lewej mamy wyniki sarkoidozy, natomiast po prawej stronie rysunek pokazuje przerzuty nowotworowe.
Obrazy medyczne, tworzone przy użyciu różnego rodzaju specjalistycznego sprzętu umożliwiają lekarzom obserwację struktur organizmu ludzkiego oraz przebieg szeregu procesów fizjologicznych. Właściwa analiza tych obrazów i interpretacja informacji z nich wydobytych przyczynia się w znaczącym stopniu do stawiania prawidłowej diagnozy. Należy podkreślić, że nie ma uniwersalnej metody obrazowania dla każdej z dziedzin medycyny.
Projekt współfinansowany ze środków Unii Europejskiej.
żywamy plików cookies, aby poprawić Twoje doświadczenia na naszej stronie. Niektóre są niezbędne, inne pomagają nam zrozumieć, jak korzystasz z naszej witryny. Polityka prywatności
Wybierz, na które kategorie plików cookies wyrażasz zgodę. Możesz zmienić te ustawienia w dowolnym momencie.
Niezbędne pliki cookies do podstawowego działania strony. Nie można ich wyłączyć.
| Cookie | Dostawca | Cel | Czas życia |
|---|---|---|---|
sq_cookies_consent
|
SQ Cookies | Przechowuje wybory użytkownika dotyczące zgód na pliki cookies (które kategorie zaakceptował lub odrzucił). | 1 rok |
sq_cookies_uuid
|
SQ Cookies | Unikalny identyfikator użytkownika do logowania zgód na cookies (proof of consent). | 1 rok |
wordpress_logged_in_*
|
WordPress | Identyfikuje zalogowanego użytkownika WordPressa po stronie front-endu. Zawiera nazwę użytkownika, hash hasła i czas wygaśnięcia sesji. | Sesja / 14 dni |
wordpress_test_cookie
|
WordPress | Testuje, czy przeglądarka użytkownika akceptuje pliki cookies. Ustawiane na stronie logowania WordPressa i sprawdzane przed próbą logowania. | sesja |
Pliki cookies zapamiętujące Twoje preferencje i ustawienia.
| Cookie | Dostawca | Cel | Czas życia |
|---|---|---|---|
llar_login_flow
|
Limit Login Attempts Reloaded | Plik cookie wtyczki Limit Login Attempts Reloaded. Zarządza przepływem logowania i ochroną przed atakami brute force na stronę WordPress. | sesja |
pll_language
|
Polylang | Zapamiętuje wybrany język strony przez użytkownika. | 1 rok |
wp-settings-*
|
WordPress | Przechowuje preferencje interfejsu panelu administracyjnego WordPressa dla danego użytkownika (np. układ edytora, widok listy postów). | 1 rok |
wp-settings-time-*
|
WordPress | Przechowuje znacznik czasu ostatniej zmiany ustawień interfejsu WordPressa. Powiązane z cookie wp-settings — określa ważność preferencji. | 1 rok |
Pliki cookies pomagające nam zrozumieć, w jaki sposób odwiedzający korzystają z naszej strony.
| Cookie | Dostawca | Cel | Czas życia |
|---|---|---|---|
_ga
|
Google Analytics | Rozróżnia unikalnych użytkowników przypisując losowo wygenerowany numer jako identyfikator klienta. Zawiera znacznik czasu pierwszej wizyty i liczbę sesji. | 2 lata |
_ga_*
|
Google Analytics 4 | Utrzymuje stan sesji w Google Analytics 4. Przechowuje identyfikator strumienia danych GA4 (Measurement ID) i stan sesji użytkownika. | 2 lata |
Pliki cookies używane do wyświetlania spersonalizowanych reklam i mierzenia ich skuteczności.
| Cookie | Dostawca | Cel | Czas życia |
|---|---|---|---|
__ss_tk
|
SharpSpring | Plik cookie śledzący platformy SharpSpring (marketing automation). Grupuje wizyty na stronie w raportach dla jednego użytkownika. Używany do retargetingu reklam na podstawie odwiedzonych stron i aktywności. | 2 lata |