Akredytowane Centrum Badawczo Rozwojowe

Łączymy systemy. Usprawniamy procesy. Napędzamy rozwój.
Strona główna » Dlaczego my? » Case studies / realizacje
Za nami dziesiątki wdrożeń systemów ERP, integracji, projektów B+R oraz rozwiązań dedykowanych dla firm z różnych branż. Poznaj wybrane realizacje i zobacz, jak wspieramy klientów w cyfryzacji, automatyzacji oraz rozwoju nowoczesnych technologii.
Zaawansowane monitorowanie oraz optymalizacja procesów technologicznych w czasie rzeczywistym
Innowacyjna diagnostyka konstrukcji — precyzyjna i nieinwazyjna ocena stanu budynków
Nowoczesna ocena struktury i bezpieczeństwa wałów przy wykorzystaniu tomografii impedancyjnej.
Precyzyjna analiza procesów i detekcja defektów w czasie rzeczywistym.
Inteligentne przetwarzanie i wsparcie diagnostyczne z wykorzystaniem nowoczesnych technologii.
Kompleksowe środowisko do akwizycji, analizy i zarządzania danymi pomiarowymi
Inteligentne wsparcie optymalizacji procesów wytwórczych
Inteligentny, nieinwazyjny nadzór nad bezpieczeństwem infrastruktury hydrotechnicznej.
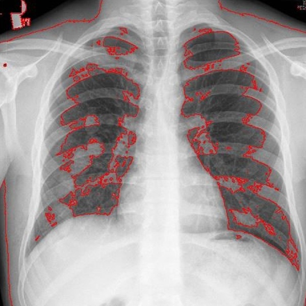
Inteligentne wsparcie procesu diagnostycznego oparte na analizie obrazów medycznych.
żywamy plików cookies, aby poprawić Twoje doświadczenia na naszej stronie. Niektóre są niezbędne, inne pomagają nam zrozumieć, jak korzystasz z naszej witryny. Polityka prywatności
Wybierz, na które kategorie plików cookies wyrażasz zgodę. Możesz zmienić te ustawienia w dowolnym momencie.
Niezbędne pliki cookies do podstawowego działania strony. Nie można ich wyłączyć.
| Cookie | Dostawca | Cel | Czas życia |
|---|---|---|---|
sq_cookies_consent
|
SQ Cookies | Przechowuje wybory użytkownika dotyczące zgód na pliki cookies (które kategorie zaakceptował lub odrzucił). | 1 rok |
sq_cookies_uuid
|
SQ Cookies | Unikalny identyfikator użytkownika do logowania zgód na cookies (proof of consent). | 1 rok |
wordpress_logged_in_*
|
WordPress | Identyfikuje zalogowanego użytkownika WordPressa po stronie front-endu. Zawiera nazwę użytkownika, hash hasła i czas wygaśnięcia sesji. | Sesja / 14 dni |
wordpress_test_cookie
|
WordPress | Testuje, czy przeglądarka użytkownika akceptuje pliki cookies. Ustawiane na stronie logowania WordPressa i sprawdzane przed próbą logowania. | sesja |
Pliki cookies zapamiętujące Twoje preferencje i ustawienia.
| Cookie | Dostawca | Cel | Czas życia |
|---|---|---|---|
llar_login_flow
|
Limit Login Attempts Reloaded | Plik cookie wtyczki Limit Login Attempts Reloaded. Zarządza przepływem logowania i ochroną przed atakami brute force na stronę WordPress. | sesja |
pll_language
|
Polylang | Zapamiętuje wybrany język strony przez użytkownika. | 1 rok |
wp-settings-*
|
WordPress | Przechowuje preferencje interfejsu panelu administracyjnego WordPressa dla danego użytkownika (np. układ edytora, widok listy postów). | 1 rok |
wp-settings-time-*
|
WordPress | Przechowuje znacznik czasu ostatniej zmiany ustawień interfejsu WordPressa. Powiązane z cookie wp-settings — określa ważność preferencji. | 1 rok |
Pliki cookies pomagające nam zrozumieć, w jaki sposób odwiedzający korzystają z naszej strony.
| Cookie | Dostawca | Cel | Czas życia |
|---|---|---|---|
_ga
|
Google Analytics | Rozróżnia unikalnych użytkowników przypisując losowo wygenerowany numer jako identyfikator klienta. Zawiera znacznik czasu pierwszej wizyty i liczbę sesji. | 2 lata |
_ga_*
|
Google Analytics 4 | Utrzymuje stan sesji w Google Analytics 4. Przechowuje identyfikator strumienia danych GA4 (Measurement ID) i stan sesji użytkownika. | 2 lata |
Pliki cookies używane do wyświetlania spersonalizowanych reklam i mierzenia ich skuteczności.
| Cookie | Dostawca | Cel | Czas życia |
|---|---|---|---|
__ss_tk
|
SharpSpring | Plik cookie śledzący platformy SharpSpring (marketing automation). Grupuje wizyty na stronie w raportach dla jednego użytkownika. Używany do retargetingu reklam na podstawie odwiedzonych stron i aktywności. | 2 lata |